Herzens­projekt

Das Universitätsklinikum Heidelberg (UKHD) baut ein neues Herzzentrum. Das „Smart Hospital“ soll durch seinen ganzheitlichen Ansatz internationale Strahlkraft entwickeln. Ein Interview mit Prof. Dr. Norbert Frey, dem Ärztlichen Direktor der Klinik für Kardiologie, Angiologie und Pneumologie, und dem Prof. für Digitale Präzisionsmedizin Dr. Benjamin Meder über eine echte Herzensangelegenheit.

Herr Prof. Dr. Frey, warum ist das neue Herzzentrum ein Meilenstein für den Medizinstandort Heidelberg – und darüber hinaus?

Prof. Dr. Frey Weil wir alle herzmedizinischen Kompetenzen unter einem Dach bündeln: Neben der Kardiologie, der Herzchirurgie, der Angiologie und der Kardio-Anästhesie ziehen auch die Kinderkardiologie und die Kinderherzchirurgie sowie das Forschungsinstitut „Informatics for Life“ ein. Dieser ganzheitliche Ansatz aus Technologie, datenbasierter Forschung und Patientenzentrierung ist, zumindest in einer Größe und Exzellenz wie bei uns, international beispielgebend. Das neue Herzzentrum kann ein Blueprint für ähnliche Projekte werden.

Das Zentrum wird als „Smart Hospital“ geplant. Was zeichnet dieses Konzept aus?

Prof. Dr. Frey Ein „Smart Hospital“ ist ein komplett digitalisiertes Krankenhaus. Von der Anmeldung über die Diagnosestellung und die Therapie bis zum Entlassmanagement werden alle Daten digital erfasst. Diese Daten dienen uns, unter Einbeziehung von KI-Verfahren, als Grundlage für medizinische Entscheidungen. Zudem können wir Abläufe optimieren und leichter nachvollziehen.

Portrait von Prof. Dr. Norbert Frey

Prof. Dr. Norbert Frey

Ärztlicher Direktor der Klinik für Kardiologie, Angiologie und Pneumologie

Herzkammerflimmern in einem EKG

Prof. Dr. Norbert Frey studierte Medizin in Kiel, Baltimore und Washington DC. Seine Facharztausbildung für Innere Medizin und Kardiologie absolvierte er an den Unikliniken in Heidelberg und Lübeck. Seit 2020 ist er Ärztlicher Direktor der Klinik für Kardiologie, Angiologie und Pneumologie in Heidelberg. Von 2027 bis 2029 wird er der Deutschen Gesellschaft für Kardiologie als Präsident vorstehen.

Mehr über Prof. Dr. Norbert Frey

Was wird sich dadurch für Patientinnen und Patienten verbessern?

Prof. Dr. Frey Durch die Digitalisierung, die kurzen Wege und den engen Austausch der Disziplinen werden Prozesse deutlich effizienter. So reduzieren sich beispielsweise die Verweil- und Liegedauern, auch die Versorgung ambulanter Patientinnen und Patienten gewinnt. Wir werden in OPs und Laboren die modernste Technik zur Verfügung haben und zusätzlich KI-Verfahren nutzen, sodass wir schnellere und präzisere Diagnosen stellen und eben solche Therapien ermöglichen können. Dadurch können wir eine stärker individualisierte Herzmedizin anbieten. Was uns aber ganz wichtig ist: Wir sind keine Medizinfabrik! Wir möchten eine angenehme Umgebung schaffen, in der sich Menschen wohl fühlen – das gilt nicht nur für Patientinnen und Patienten, sondern auch für Mitarbeitende.

Architekturzeichnung des geplanten Herzzentrums: Langgestrecktes Gebäude mit bis zu vier Stockwerken, in rotem Strichstil. Beim Scrollen wandelt sich das Bild in eine farbige 3D-Visualisierung mit schrägem Blickwinkel.
Architekturzeichnung des geplanten Herzzentrums: Langgestrecktes Gebäude mit bis zu vier Stockwerken, in rotem Strichstil. Beim Scrollen wandelt sich das Bild in eine farbige 3D-Visualisierung mit schrägem Blickwinkel.

Herr Prof. Dr. Meder, woran genau arbeiten Sie im Forschungsinstitut „Informatics for Life“, das ebenfalls in das neue Herzzentrum einziehen wird?

Prof. Dr. Meder Bei „Informatics for Life“ bauen wir die Brücke von der angewandten zur digitalen Medizin sowie zum maschinellen Lernen – und wieder zurück in die Klinik. Wie Prof. Frey schon sagte: Wir wollen den Prototyp eines smarten, digitalisierten Krankenhauses bauen. Das bietet großes Potenzial.

Portrait von Prof. Dr. Benjamin Meder

Prof. Dr. Benjamin Meder

Stellv. Ärztlicher Direktor der Klinik für Kardiologie, Angiologie und Pneumologie

Vorhofflimmern in einem EKG

Prof. Dr. Benjamin Meder entdeckte seine Leidenschaft für Kardiologie schon als Zivildienstleistender im Herzzentrum Bad Krozingen. Er studierte in Freiburg und kam nach seiner Doktorarbeit ans Uniklinikum Heidelberg, wo er heute stellvertretender Ärztlicher Direktor der Klinik für Kardiologie, Angiologie und Pneumologie ist. Er ist außerdem Sprecher von „Informatics for Life“, das an das neue Herzzentrum angeschlossen wird.

Mehr über Prof. Dr. Benjamin Meder

Können Sie dafür ein Beispiel nennen?

Prof. Dr. Meder Nehmen wir die Patientensicherheit – ein wichtiges Thema. Oft haben wir Patientendaten, etwa zu Identität, Diagnosen, Medikamenten, Therapie etc., nicht da, wo wir sie haben müssten. Daran arbeiten wir mit „Informatics for Life“. Ärztinnen und Ärzte behalten die Entscheidungshoheit, lassen sich aber durch digitale Assistenzsysteme helfen. Beispielsweise kann eine KI beim Bewerten einer MRT- oder Ultraschall-Aufnahme unterstützen und eine Diagnose vorschlagen. Auch das Monitoring verbessert sich. Wo befindet sich ein Patient aktuell im Gebäude, welchen Herzschlag hat er, kann ein Notfall vorhergesagt und verhindert werden, bevor er entsteht? Hier kann eine prädiktive KI sehr nützlich sein, weil sie frühe und oft subtile Zeichen erkennt.

Prof. Dr. Frey Ein gutes Beispiel für ein neuartiges, digitales Verfahren, mit dem wir die Patientensicherheit erhöhen, sind die sogenannten modellierten Therapien. Mit diesen üben wir etwa eine schwierige Operation am digitalen Zwilling eines konkreten Patienten. Das verringert das Risiko der OP natürlich erheblich.

Prof. Dr. Meder Genau! Eine wichtige Aufgabe des Instituts ist es auch, die Strukturen zu schaffen, damit solche neuartigen Tools und KI-Verfahren sicher in die Medizin integriert werden können. Dafür müssen wir sie erproben und validieren. Entsprechende Studien machen wir mit der Studieneinheit von „Informatics for Life“.

Das Herzzentrum – voller Fokus auf der Herzmedizin

Herz-Kreislauf-Erkrankungen sind die Todesursache Nummer eins in Deutschland. Am Uniklinikum Heidelberg entsteht daher auf dem Gelände der ehemaligen Kinderklinik in Nachbarschaft des Nierenzentrums ein neues Herzzentrum, das sämtliche herzmedizinischen Abteilungen vereint und mit dem Forschungsinstitut „Informatics for Life“ koppelt. Das Projekt wurde vom langjährigen medizinischen Direktor der Kardiologie, Prof. Hugo A. Katus, angestoßen. Die Dietmar-Hopp-Stiftung und die Klaus-Tschira-Stiftung fördern den Bau mit 129 Millionen Euro, außerdem unterstützt eine private Stifterin das Kinderkatheter-Labor mit einer Million Euro. Auch das Land Baden-Württemberg wird im Zuge der Prioritätsförderung mit signifikanten Mitteln beitragen, das neue Herzzentrum zu realisieren. Die Eröffnung ist für 2029 geplant.

Fotos, News und ein 360°-Rundgang – verfolgen Sie die Entwicklung des neuen Herzzentrums mit!

Sie verfolgen ein „Industry-on-Campus“-Modell. Was bedeutet das?

Prof. Dr. Meder Das bedeutet, dass wir Innovationspartnerschaften mit der forschenden Industrie schließen, um schneller neue Therapien und Produkte zu entwickeln. Man kennt das aus der Pharmakologie: Bis zur Zulassung eines Medikaments muss man viele Schritte gehen. So ist das bei unseren digitalen Verfahren auch, wir haben viele Zulassungs- und Prüfprozesse. Das Problem: Der Industrie mangelt es bei Entwicklungsthemen an Patientendaten, wir profitieren von externer Entwicklungs- und Marktkompetenz. Im neuen Zentrum führen wir all diese Aspekte zusammen.

Welchen Vorteil haben Patientinnen und Patienten dadurch?

Prof. Dr. Meder Sie profitieren sehr früh von diesen neuen Entwicklungen. Es gibt schon jetzt mehr als 1.000 KI-Verfahren, die als Medizinprodukt zugelassen sind. Für viele ist ein Mehrwert etwa in punkto Präzision bei der Behandlung und Patientensicherheit nachgewiesen.

Prof. Dr. Benjamin Meder in OP-Kleidung beugt sich über einen Patienten. Im Hintergrund sind weitere Mitglieder des OP-Teams zu sehen.
Die bestmögliche Versorgung von Patientinnen und Patienten zu erreichen - das ist das Ziel von Prof. Dr. Benjamin Meder.
Sinusrhythmus in einem EKG
Prof. Dr. Norbert Frey mit Mikrofon bei einem Vortrag im Rahmen der Reihe ‚Medizin am Abend‘.

Die Digitalisierung, vor allem die KI, verändert die Medizin offenbar tiefgreifend.

Prof. Dr. Meder Allerdings – das beginnt schon bei der Prävention, die in Zukunft immer wichtiger wird. Auch hier spielen Daten eine große Rolle. Mit KI-Methoden lassen sich etwa Laborwerte und Bildgebung eines Patienten viel besser auswerten. So können wir präzisere Prognosen stellen und festlegen, wie intensiv man Prävention betreiben muss.

Prof. Dr. Frey Eine weitere Veränderung durch die Digitalisierung ist auch, dass Patientinnen und Patienten mehr partizipieren. Sie wollen mitentscheiden. Prozesse werden gemeinsam mit ihnen geplant, durchgeführt und gemonitort. Sie können dafür beispielsweise Wearables tragen und ihre Daten, wenn gewünscht, transparent mit unseren Teams für die Therapiesteuerung nutzen. Diese telemedizinische Anbindung hat viel Potenzial für die Therapieadhärenz, also für die Intensität, mit der Erkrankte ärztliche Empfehlungen umsetzen und aktiv mitwirken.

Architekturzeichnung des Herzzentrums mit geradem Blick auf ein langgestrecktes, vierstöckiges Gebäude. Die rot angelegte Skizze verwandelt sich beim Scrollen in eine farbige Architektenansicht.
Architekturzeichnung des Herzzentrums mit geradem Blick auf ein langgestrecktes, vierstöckiges Gebäude. Die rot angelegte Skizze verwandelt sich beim Scrollen in eine farbige Architektenansicht.

Die Innovationskraft der Region

Die Rhein-Neckar-Region ist schon jetzt ein Innovationscampus. In der „Health + Life Science Alliance Heidelberg Mannheim“ haben sich sieben führende Forschungseinrichtungen zusammengeschlossen und bilden einen international führenden biomedizinisch-technologischen Cluster. Das neue Herzzentrum wird dieses Profil noch stärken. Sein Ansatz ist partnerschaftlich und sektorenübergreifend. Das heißt: Es soll eine enge Zusammenarbeit mit Kliniken und niedergelassenen Fachleuten aus der Region geben. Das Ziel ist ein Netzwerk, in dem jeder seine Rolle und Aufgaben hat. Beispielsweise kann das Herzzentrum durch seine Highend-Medizin Herausforderungen angehen, die andere nicht mehr lösen können.

Ein Projekt wie das neue Herzzentrum aktiv mitzugestalten, ist vermutlich einmalig im Berufsleben. Was bedeutet der Bau für Sie persönlich?

Prof. Dr. Meder Dieses Projekt mit unserem hochmotivierten Team zu planen und umzusetzen, ist sehr bereichernd. Die Interaktion mit all diesen brillanten Leuten macht unheimlich viel Spaß.

Prof. Dr. Frey Das kann ich nur unterstreichen. Wir schaffen etwas ganz Neues, das ist ein Aufbruch für das ganze Klinikum. Ich bin erst seit einigen Jahren wieder in Heidelberg. Dieses Zentrum mitgestalten zu können, war ein großer Anreiz für meine Rückkehr. Wir sind unseren Unterstützern, dem Land Baden-Württemberg, der Hopp-Stiftung, der Tschira-Stiftung und der privaten Stifterin des Kinderkatheter-Labors, ungeheuer dankbar. Ohne sie wäre der Bau nicht möglich. Das Zentrum ist ein sehr gutes Beispiel dafür, wie Politik und private Stiftungen gemeinsam Großes hervorbringen können.

Stimmen zum Herzzentrum

Portrait

Inga Unger, M.A.

Pflegedienstleitung Zentrum für
Innere Medizin

„Was fachlich seit Jahren eng verzahnt arbeitet, findet dann auch baulich im neuen Herzzentrum zueinander. Mit dem Herzzentrum schaffen wir optimale Bedingungen für eine enge, sektorübergreifende Zusammenarbeit – nicht nur zwischen medizinischem und pflegerischem Personal, sondern vor allem zur exzellenten Versorgung unserer Patientinnen und Patienten.“

Portrait

Birgit Trierweiler-Hauke, BBA.

Pflegedienstleitung Chirurgische Klinik und Klinik für Anästhesiologie

„Der Umzug in die direkte Nachbarschaft zur Medizinischen Klinik hat unseren pflegerischen und interprofessionellen Austausch bereits spürbar intensiviert. Im neuen Herzzentrum wachsen wir endgültig zusammen – zum Vorteil aller, die wir gemeinsam betreuen.“

Portrait

Prof. Dr. Matthias Karck

Ärztlicher Direktor Klinik für Herzchirurgie

„Mit dem neuen Herzzentrum schaffen wir optimale Bedingungen für hochkomplexe Eingriffe – eng verzahnt mit der Kardiologie und unmittelbar im Austausch mit allen beteiligten Disziplinen.“

Portrait

Prof. Dr. Matthias Gorenflo

Klinik für Kinderkardiologie und Angeborene Herzfehler

„Kinder mit angeborenen Herzfehlern brauchen spezialisierte Medizin – und nahtlose Übergänge in die Erwachsenenversorgung. Im neuen Herzzentrum begleiten wir diesen Weg gemeinsam mit den Kolleginnen und Kollegen der Erwachsenenmedizin – interdisziplinär, kontinuierlich und im Sinne unserer jungen Patientinnen und Patienten.“

Portrait

Prof. Dr. Dr. Tsvetomir Loukanov

Sektion Kinderherzchirurgie

„In der Kinderherzchirurgie operieren wir Kinder mit hochkomplexen Herzfehlern und Erwachsene mit angeborenen Herzfehlern. Das neue Herzzentrum schafft die Strukturen für gemeinsame Höchstleistungen – wir profitieren zusammen von neuen technischen und digitalen Möglichkeiten.“

Weitere Herzensangelegenheiten

Eine medizinische Fachkraft in Schutzkleidung hält ein Kunstherz in beiden Händen.

Klinik für Herzchirurgie

Kunstherzen: Eine Chance auf Leben

Sie sind technische Wunderwerke und Retter in höchster Not: Kunstherzen. Prof. Dr. Anna Meyer, Leitende Oberärztin und Leiterin des Herzunterstützungsprogramms, hat mit einem Team der Herzchirurgie zwei schwer kranken Patienten vollständig implantierbare Kunstherzen der Firma Carmat eingesetzt. Ein Interview über Hightech, Hydraulik und Hoffnungen.

Frau Prof. Dr. Meyer, was genau ist ein Kunstherz und wann kommt es zum Einsatz?

Vollständig implantierbare Kunstherzen kommen zum Einsatz, wenn beide Herzkammern schwer geschädigt sind. Unsere beiden Patienten, denen wir im Juni und Juli 2024 Kunstherzen eingesetzt haben, standen deshalb auch schon auf der Warteliste für ein Spenderherz. Als sich ihr Zustand verschlechterte, mussten wir handeln und die Wartezeit überrücken. Wir haben uns gemeinsam für das aktuell modernste verfügbare System Carmat Aeson entschieden. Das ist Hightech! In der Brust arbeitet dann kein Muskel mehr, sondern ein Roboter. Eine Hydraulikpumpe wird mit den großen Blutgefäßen und Herzvorhöfen vernäht und pumpt das Blut durch den Körper. Das Kabel zur Stromversorgung verläuft aus dem Bauch heraus zu den Akkus, die die Patienten in einer Umhängetasche mit sich tragen.

Mehr als 1.500 große Operationen hat die Herzchirurgie 2024 durchgeführt, darunter auch OPs zum Einsatz von 20 Spenderherzen und 132 maschinellen Systemen zur Herzunterstützung. Etwa 30 Europäerinnen und Europäer leben derzeit mit dem Carmat-Kunstherzen, weltweit wurde es bereits 110-mal eingesetzt.

Ein Kunstherz ist in einem kleinen Gestell befestigt. Zwei behandschuhte Hände nehmen Einstellungen daran vor.
Das Aeson-Kunstherz wird für die OP zusammengebaut.

Wie haben Sie sich auf diese Eingriffe vorbereitet?

Wir waren mit einem interdisziplinären Team zwei Tage bei der Herstellerfirma in Paris und haben unter anderem an Rinderherzen trainiert. Ein Kardiotechniker war auch dabei, denn es dauert allein eine Stunde, um das System vor der Operation zusammenzubauen. Die Handgriffe und Abläufe ähneln in Teilen Herztransplantationen oder auch dem Einsetzen von Langzeit-Unterstützungssystemen. Damit kennt sich unser Team gut aus: Wir haben 2024 allein 21 solcher Systeme eingesetzt und 20 Herztransplantationen durchgeführt.

In Heidelberg wurde erstmals ein vollständiges Kunstherz dieser Art implantiert. Wie verhält sich das im internationalen Vergleich?

Solche Operationen sind sehr selten, denn es kommt nicht häufig vor, dass Menschen mit beiden Herzkammern Probleme haben. Das Carmat-System wurde weltweit bislang 110-mal eingesetzt.

Prof. Dr. Meyer und ein Patient mit Kunstherz blicken gemeinsam auf einen Monitor, der ein Röntgenbild des Oberkörpers mit dem Kunstherz zeigt. Neben dem Patienten steht eine schwarze Tasche auf einem Stuhl, aus der ein weißer Schlauch zum Körper führt.
Die Leitende Oberärztin der Herzchirurgie, Prof. Dr. Anna Meyer, erläutert dem Patienten anhand des Röntgenbildes die Funktionsweise des Kunstherzens.

Wie geht es den beiden Patienten derzeit? Das Kunstherz ist ja nur für sechs Monate im Körper zugelassen und zur Überbrückung der Wartezeit auf ein Spenderherz gedacht.

Das stimmt. Beide Patienten haben das System noch und hoffen weiterhin auf ein Spenderherz. Es geht ihnen derzeit gut. Genau deswegen ist es aber auch schwierig, sie auf der Warteliste als hochdringlich einzustufen. Die unabhängigen Gutachter von Eurotransplant, die darüber entscheiden, müssen sich an die Regeln des Transplantationsgesetzes halten und diese sind für Fälle mit diesem speziellen Kunstherz nicht gemacht. Das ist eine Lücke in der Medizin.

Röntgenbild des Brustkorbs mit einem deutlich erkennbaren Kunstherz als heller Schatten im Brustbereich.
Röntgenbild des operierten Patienten. Das Kunstherz ist etwas größer als ein normales Herz.

Die Bereitschaft zur Organspende ist in Deutschland im internationalen Vergleich nicht groß. Werden solche Operationen in Zukunft häufiger vorkommen?

Das könnte ich mir vorstellen, sobald das System als Destination-Therapie zugelassen ist. Das heißt: Das Kunstherz würde dann dauerhaft verbleiben. Daran arbeitet die Firma gerade. Das würde vor allem älteren Erkrankten zugutekommen, die für eine Herztransplantation nicht mehr in Frage kommen.

1953 beginnt die Geschichte des Kunstherzens mit dem ersten erfolgreichen Einsatz einer Herz-Lungen-Maschine. Lesen Sie die komplette Historie.

Geöffnete schwarze Systemtasche mit sichtbaren Akkus und Steuergerät des Kunstherzens.
Diese Tasche mit den vier Batterien und dem Controller ist seit der Implantation der ständige Begleiter des Patienten.

Wie gehen die Patienten und ihre Angehörigen damit um, dass in ihrer Brust eine Hydraulikpumpe schlägt und ein Stromkabel aus dem Bauch ragt?

Man muss es so deutlich sagen: Patientinnen und Patienten, die ein solches Kunstherz bekommen, sind schwer krank und haben keine Alternativen. Das ist ihnen bewusst. Dennoch ist das natürlich nicht einfach, wenn man auf die Technik hoffen muss. Sollte sie ausfallen, gibt es keinen Plan B. Ein Kunstherz kann man nicht reanimieren. Deswegen gibt es zwei Pumpen im System, das gibt etwas Sicherheit. Tatsächlich ist bei einem unserer Patienten der Notfallmodus angesprungen und wir mussten das System wechseln. Diesen Eingriff hat er gut überstanden.

Die Uniklinik baut an einem neuen Herzzentrum. Was erhoffen Sie sich vom Neubau?

Ich glaube, dass die Zusammenarbeit mit der Kardiologie dadurch noch enger wird. Ich habe in Leipzig schon mal in einem Herzzentrum gearbeitet und weiß daher, wie hilfreich kurze Wege sind – vor allem für Erkrankte.

Kurz vorgestellt

Herzchirurgie – operative Höchstleistung für das Herz

Jährlich werden in der Klinik für Herzchirurgie am Universitätsklinikum Heidelberg mehr als 2.500 Patientinnen und Patienten operativ versorgt. Ob Herzklappen- oder Bypass-Operationen, Aortenchirurgie oder Herztransplantationen – das erfahrene Team setzt auf modernste, individuell abgestimmte Behandlungsmethoden.

Mit 64 Betten, darunter spezialisierte Intensiv- und Intermediate Care-Stationen, bietet die Klinik eine umfassende Betreuung rund um die Uhr. Dank enger interdisziplinärer Zusammenarbeit und modernster intensivmedizinischer Technik erhalten auch Patientinnen und Patienten mit komplexen Vorerkrankungen die bestmögliche Versorgung.

Zur Website der Herzchirurgie
Außenansicht der Chirurgischen Klinik mit Hubschrauberlandeplatz auf dem Dach.
Zwei Wissenschaftler betrachten gemeinsam eine durchsichtige Folie mit Linien.

Klinik für Kardiologie, Angiologie 
und Pneumologie

Atherosklerose – wo bleibt die Müllabfuhr?

Die Fresszellen unseres Immunsystems sind die Müllabfuhr des Körpers. Doch warum erkennen sie nicht die Ablagerungen, die bei Atherosklerose die Gefäße verstopfen, was zu lebensgefährlichen Durchblutungsstörungen führen kann? Genau das erforscht der Kardiologe Dr. Kai-Uwe Jarr – mit Unterstützung der Corona-Stiftung im Stifterverband für die Deutsche Wissenschaft.

Das Problem

Atherosklerose ist die weltweit häufigste Todesursache. Viele biologische Mechanismen der Arterienverkalkung sind bisher noch nicht verstanden. Was man weiß: Bei Erkrankten verengen sich fortschreitend wichtige Blutgefäße, weil sich an ihrer Innenseite Fette, Kalk und abgestorbene Zellen ablagern. Diese Plaques entzünden sich und dehnen sich weiter aus: es drohen schließlich Herzinfarkt und Schlaganfall.

Der Ansatz

Wie könnte das körpereigene Immunsystem für die Therapie der lebensgefährlichen Gefäßverengungen rekrutiert werden? Dieser Frage geht Dr. Kai-Uwe Jarr, Oberarzt an der Klinik für Kardiologie, Angiologie und Pneumologie am Universitätsklinikum Heidelberg (UKHD), nach. Denn: Ein wesentlicher Faktor für einen lebensbedrohlichen Verlauf der Erkrankung ist die Tatsache, dass die Müllabfuhr des Körpers, bestehend aus Fresszellen des Immunsystems, Ablagerungen sowie erkrankte und sterbende Zellen nicht richtig erkennt und beseitigt. Welche Mechanismen hierbei gestört sind und wie man diese Schwachstelle therapeutisch beeinflussen könnte, möchten Dr. Jarr und sein Team herausfinden.

Corona-Stiftung fördert
Dr. Kai-Uwe Jarr

1 Million Euro erhält Dr. Kai-Uwe Jarr von der Corona-Stiftung im Stifterverband für die Deutsche Wissenschaft für seine Forschung zur Immuntherapie bei Atherosklerose und den Aufbau seiner eigenen Nachwuchs­forschungsgruppe an der Medizinischen Fakultät Heidelberg der Universität Heidelberg. Die Unterstützung ist Teil des Programms „Nachwuchs­forschungsgruppe Kardiovaskuläre Erkrankungen". Die personenbezogene Förderung richtet sich an promovierte Wissenschaftlerinnen und Wissenschaftler, die sich während des Förderzeitraumes von fünf Jahren auf eine Leitungsposition vorbereiten möchten.

Das Ziel

Neue Behandlungsansätze entwickeln, um Herzinfarkt und Schlaganfall vorzubeugen – das ist das Ziel der Wissenschaftlerinnen und Wissenschaftler. Dafür möchten sie zunächst das gestörte Verhalten der Fresszellen reaktivieren. Das soll das Fortschreiten der Erkrankung verhindern. Einen innovativen Ansatz bieten bestimmte Krebsmedikamente, sogenannte Immuntherapien. Die Heidelberger Forschungsarbeiten zeigen erstmals den potenziellen Nutzen einer solchen gezielten Immuntherapie. Weitere Studien sollen das Wissen über die Zusammenhänge vertiefen und den Behandlungsansatz weiter ausarbeiten.

Hören Sie den Podcast „Rund ums Herz – von der Prävention zur Intervention“ aus der Reihe Medizin am Abend.

Wussten Sie, dass ...

… das menschliche Herz pro Tag rund 7.000 Liter Blut durch den Körper pumpt? Das entspricht etwa dem Inhalt von 40 Badewannen.

Quelle: herzstiftung.de

… Leonardo Da Vinci im 16. Jahrhundert das Herz bereits als Pumpe bezeichnete? Er erkannte auch, dass sich die Herzkranzgefäße im Alter verdicken. Damit beschrieb er als Erster die Atherosklerose.

Quelle: science.orf.at

… Lachen nicht nur sprichwörtlich die beste Medizin ist? Eine Studie von 2023 zeigt, dass Lachen Patientinnen und Patienten mit Herzerkrankungen bei der Rehabilitation hilft.

Quelle: academic.oup.com

… Musik nicht nur die Stimmung eines Menschen verändern kann, sondern auch seine Herzfrequenz? Eine Studie mit 60 Menschen hat ergeben, dass Musik von Mozart und Strauss Blutdruck und Herzfrequenz verringert, die von ABBA aber nicht.

Quelle: aerzteblatt.de

… der Blauwal das größte Herz hat? Es kann bis zu einer Tonne wiegen1 und schlägt nur etwa sechsmal pro Minute, wenn der Wal untergetaucht ist. Das kleinste Herz gehört der ca. 2,5 Zentimeter großen Etruskerspitzmaus. Ihr Herz schlägt bis zu 1.500-mal pro Minute.2

1Quelle: wissenschaft.de

2Quelle: zoo-dresden.de

Kurz vorgestellt

Kardiologie, Angiologie und Pneumologie – Innovative Behandlungen für Herz-Kreislauf-Erkrankungen

Herz-Kreislauf-Erkrankungen gehören zu den häufigsten Todesursachen in Deutschland und sind ein zentraler Schwerpunkt der Klinik für Kardiologie, Angiologie und Pneumologie. Durch modernste Diagnostik, innovative Therapieverfahren und interdisziplinäre Zusammenarbeit bietet die Klinik eine umfassende Versorgung für Patientinnen und Patienten mit Herzerkrankungen.

Besondere Schwerpunkte sind die interventionelle Kardiologie (z. B. minimal-invasive Herzklappenverfahren wie TAVI), Herzinsuffizienz, Herzrhythmusstörungen sowie hochspezialisierte Bildgebung (MRT, CT, 3D-Echokardiographie). Jährlich führt das Team mehr als 6.500 Eingriffe an den Herzkranzgefäßen durch und behandelt Hunderte von Patientinnen und Patienten mit Herzrhythmusstörungen mithilfe modernster Katheter-Technik.

Modernste Medizintechnik – darunter Hybrid-OPs, hochpräzise 3D-Mapping-Systeme und digitale Zwillinge zur Therapieplanung – ermöglicht eine Behandlung auf internationalem Spitzenniveau. Die Klinik ist zudem auf die Betreuung von Patientinnen und Patienten mit fortgeschrittener Herzinsuffizienz spezialisiert, einschließlich der Vorbereitung auf eine Herztransplantation oder den Einsatz von Herzunterstützungssystemen.

Zur Website der Klinik für Kardiologie, Angiologie und Pneumologie:
Eine Pflegefachkraft reicht einem Patienten einen Gegenstand. Vom Patienten sind lediglich die Hände zu sehen.

Pflege

Pflege zwischen Technik und Vertrauen

Schwere Herzinsuffizienz verändert das Leben – körperlich, emotional und sozial. Pflegefachpersonen nehmen dabei eine zentrale Rolle ein: Sie begleiten Patientinnen und Patienten in einer besonders belastenden Phase, geben Orientierung und Halt.

In „PflegeKraft HD“, dem Pflege-Podcast aus dem Universitätsklinikum Heidelberg (UKHD), berichten Lena Jung und Yvonne Müller über ihre Arbeit mit Menschen, deren Herz stark geschwächt ist. Lena Jung ist Pflegeexpertin auf einer kardiologischen Station der Inneren Medizin. Sie berät, erklärt und unterstützt Betroffene dabei, möglichst viel Lebensqualität und Selbstständigkeit zu bewahren.

Portrait von Pflege-Expertin Lena Jung

Lena Jung

Pflegeexpertin

Unser großes gemeinsames Ziel ist es, Patientinnen und Patienten ganzheitlich zu betreuen, sie in ihrer Individualität zu sehen und auch zu schauen: Wie ist ihr häusliches Umfeld? Wie sind die familiären Bedingungen? Wie kommen sie klar?

Yvonne Müller arbeitet in der Herzchirurgie als sogenannte VAD-Koordinatorin. Sie betreut Menschen, bei denen Medikamente allein nicht mehr ausreichen. Mithilfe mechanischer Herzunterstützungssysteme – sogenannter Ventricle Assist Devices (VADs) – kann die Pumpleistung des Herzens technisch unterstützt und damit wertvolle Zeit bis zur möglichen Transplantation gewonnen werden. Die Begleitung durch das interprofessionelle Team reicht dabei oft über Monate oder sogar Jahre.

Portrait von Kunstherz-Koordinatorin Yvonne Müller

Yvonne Müller

VAD-Koordinatorin

Langzeitbetreuung von schwer herzkranken Patientinnen und Patienten ist wie eine Beziehung. Es gibt gute Zeiten. Es gibt schlechte Zeiten. Es gibt ein bisschen Drama und dann gibt es wieder Versöhnungszeiten. Am Ende sind wir sehr nah an den Menschen dran.

Pflegeexpertin Lena Jung zeigt einem Patienten ein Informationsblatt und lächelt. Der Patient ist unscharf von hinten zu sehen.
Lena Jung schult Patientinnen und Patienten im Umgang mit ihrer schweren Herzerkrankung.

Gemeinsam für Menschen mit schwerer Herzschwäche – Pflege mit Blick fürs Ganze

Wie gelingt interdisziplinäre Pflege zwischen Innerer Medizin und Herzchirurgie? Lena Jung und Yvonne Müller berichten aus ihrem Alltag – und von einer Zusammenarbeit, die Menschen Halt gibt.

Podcast, 07/2025

Transkript

Gemeinsam für Menschen mit schwerer Herzschwäche – Pflege mit Blick fürs Ganze

Jana Wagner: Herzlich willkommen zu einer neuen Folge von PflegeKraft HD, dem Pflege-Podcast des Universitätsklinikums Heidelberg. Diese Folge ist Teil unserer kleinen Serie rund um die Pflege von Herzpatientinnen und -patienten. Heute geht es um echte Teamarbeit, und zwar zwischen zwei Bereichen, die bei Menschen mit schwerer Herzschwäche besonders eng zusammenarbeiten: der Herzchirurgie und der Inneren Medizin.

Ich bin Jana Wagner und arbeite in der Unternehmenskommunikation am UKHD und freue mich heute auf Yvonne Müller. Sie ist VAD-Koordinatorin, also Ventrikel Assist Device- Koordinatorin, in der Chirurgie und Lena Jung. Sie ist Pflege APN in der Medizinischen Klinik. Hallo ihr beiden!

Yvonne Müller: Hallo!

Lena Jung: Hallo Jana.

Jana Wagner: Beide begleiten ihre Patientinnen auf dem Weg zur Transplantation durch große Operationen hindurch und oft über viele Monate oder sogar Jahre hinweg. Wir sprechen darüber, wie Pflege in solchen Ausnahmesituationen Halt geben kann, wie gute Zusammenarbeit über Klinikgrenzen hinweg gelingt und was sie sich vom neuen Herzzentrum für ihre tägliche Arbeit erhoffen.

Ich würde euch gerne einfach mal ganz kurz vorstellen bei den Zuhörern. Wir fangen mal bei dir an, Lena. Du bist ja eine Pflegeexpertin APN in der Medizinischen Klinik. Was bedeutet das genau und was machst du denn beruflich?

Lena Jung: Also, ich habe mich auf kardiologische Patienten spezialisiert. Und da vor allem auf die Herzinsuffizienz-Patienten, also Patienten, die eine Herzschwäche haben. Das heißt, der Herzmuskel pumpt einfach nicht mehr ausreichend. Diese Patienten kommen dann bei uns auf Station an, sind konfrontiert mit einer chronischen Erkrankung, die sich immer weiter verschlechtern wird. Und da komm ich ins Spiel. Ich versuche, die Patienten über die Erkrankung aufzuklären, mit ihnen über Symptome oder auch Nebenwirkungen zu sprechen, sodass die Patienten selbstbestimmt und zügig Verschlechterungen erkennen können, aktiv eingreifen können und schauen, was tut mir im Alltag gut, also ihr Leben so aktiv wie möglich mit der höchst möglichsten Lebensqualität weiterhin gestalten zu können.

Jana Wagner: Und der Weg des Patienten geht dann von der Reihenfolge weiter an Yvonne ist das richtig?

Lena Jung: Ja genau, weil die Medizin hat sich super viel weiterentwickelt: Wir können wirklich viel medikamentös machen, aber irgendwann ist die Erkrankung so weit fortgeschritten, dass wir zu drastischeren Möglichkeiten greifen müssen. Und da ist es unglaublich genial, dass es inzwischen die Möglichkeit der Assist Devices gibt, weil wir einfach ganz, ganz wenig Organe haben und ganz viele Menschen sehr lange warten, aber diese Wartezeit natürlich Schäden an den anderen Organen verursacht und einfach manchmal auch zu lange dauern würde.

Jana Wagner: Und Yvonne, du bist VAD-Koordinatorin, also Ventrikel Assist Devices, in der Chirurgie, was machst du denn genau?

Yvonne Müller: Das ist eine sehr gute Frage, die bekomme ich auch häufig gestellt oder unser Team. Also wir sind drei Menschen, die sich um Menschen kümmern mit Terminaler Herzinsuffizienz, die am Rande ihrer Herzinsuffizienz Karriere sind, wie Lena schon gesagt hat. Die Zeit läuft einem manchmal weg, trotz optimaler Betreuung und Herzen wachsen leider nicht hier bei uns im Hinterhof auf einem Baum. Und um diese Wartezeit besser zu gestalten, dass sie am Ende nicht so schlecht sind, dass sie gar nicht mehr für eine Transplantation in Frage kommen, gibt es mechanische Unterstützungssysteme, die entweder links oder rechts und in manchen Fällen leider auch bi-ventrikulär eingebaut werden, die dann die Kreislauffunktion übernehmen, um so die Durchblutung zu generieren und das bestmögliche Outcome bis zur Transplantation zu gewährleisten. Vor zehn, fünfzehn Jahren waren das Menschen, die von der Intensivstation weg implantiert wurden. Die waren „crashed and burned” nennt man die. Die haben danach auch in der Klinik gelebt, bis sie transplantiert wurden oder es hatte leider ein tragisches Ende und es kam gar nicht so weit. Und in den letzten Jahren, unter anderem durch die Betreuung von eben speziellen Teams, haben wir es geschafft, dass diese Leute nach Hause gehen können, dass sie arbeiten können teilweise, dass sie wieder ein normales, relativ normales Lebensgefühl und auch Familien-Gefühl haben. Wir betreuen nicht nur Leute, die 60 aufwärts sind. Die klassische chronische Herzinsuffizienz ist ab 50 aufwärts, sondern wir haben auch einen „Kindergarten” und damit sind nicht Kinderklinik-Patienten gemeint, sondern wirklich Menschen zwischen 20 und 40, die eigentlich mitten im Leben stehen. Und der VAD-Koordinator in Heidelberg ist sozusagen schon vor der Implantation tätig, indem er den Menschen erstmal erklärt, was ist das für ein Teil, was die da in mich rein implantieren wollen. Wie ist das Leben danach, wie kann ich mich verhalten? Wir sind teilweise bei der OP, bei der Implantation dabei, und wir schulen danach. Ab Intensivstation, sobald sie sprechen können, fangen wir an: Wie kommt da der Strom dran? Was muss ich beachten? In kleinen Abschnitten, so wie es jeder braucht, begleiten sie bis in die Reha und dann hört aber unser Job nicht auf, sondern wir gestalten mit den Kardiologen zusammen eine interdisziplinäre Nachsorgeambulanz und sehen die praktisch gemeinschaftlich. Meine Kollegen und ich von chirurgischer Seite und die Kardiologen unterstützen uns dabei, so dass wir sie dann bestmöglichst Richtung Transplantation vorbereiten.

Jana Wagner: Lena, wenn du an die Menschen denkst, die ihr gemeinsam betreut, was sind das für Patientinnen, wie erlebst du sie in dieser besonderen Phase ihres Lebens?

Lena Jung: Also, die Patienten und Patientinnen kommen ja häufig bei uns auf Station und für sie ist die Diagnose ganz plötzlich: Sie waren eigentlich ein bisschen erkältet, oder haben Sie sich ein bisschen schlapp gefühlt und jetzt auf einmal konfrontieren wir sie mit der Diagnose, dass Sie Herzkrank sein sollen. Das sind dann wirklich Patienten, die zum Beispiel notfallmäßig aus dem Urlaub zurückgeflogen werden, weil sie auf einmal Luftnot haben. Die rechnen mit einem akuten Ereignis, die rechnen nicht damit, dass sie chronisch krank sind. Die rechnen damit, sie kommen zu uns und sie gehen als gesunde Patienten wieder nachhause und das ist ein ganz schwieriger langer Prozess und zu diesem Zeitpunkt fühlen sie sich auch noch geschwächt und schlecht und überfordert und da versuchen wir einfach da zu sein, Optionen aufzuzeigen und einfach zu unterstützen.

Yvonne Müller: Die Herzerkrankung ist doch so ein ganz zentrales Thema. Das Herz ist ja auch emotional besetzt, da spielen so viele Faktoren mit rein und auch Existenzängste, wenn man mit einer chronischen Erkrankung überfallen wird, die man so bisher gar nicht gefühlt oder erlebt hat. Also das, was Lena sagt: Ich geh ins Krankenhaus und dann bekomme ich halt ein paar Medikamente und dann gehe ich nach Hause und dann ist wieder alles gut. Dann komme ich zurück zu meinem alten Leben. Und diesen Sprung, es geht nicht zurück ins alte Leben, wir können helfen, Dinge zu verlangsamen im Rahmen der chronischen Erkrankungen, aber wir können sie nicht heilen primär, das ist glaub ich so ein Knackpunkt, an dem jeder erstmal zu knabbern hat.

Jana Wagner: Kannst du uns vielleicht schildern, was diese Menschen brauchen, also sowohl medizinisch als auch emotional und welche Rolle ihr als Pflegekräfte dabei spielt?

Yvonne Müller: Ist ganz multifaktoriell tatsächlich und immer individuell. Natürlich brauchen die eine engmaschige medizinische, hochprofessionelle Betreuung in Form von Diagnostik und Therapie, aber bei all dieser Professionalität und der medikamentösen Therapie brauchen sie vor allem emotionale Unterstützung: Die sind aufgewühlt, die sind verunsichert, haben Ängste und müssen aber trotzdem relativ schnell durchgeschleust werden und auch wieder nach Hause geschickt werden auf eigene Füße. Sie müssen ganz viele Dinge auf einmal lernen, auf sich zu achten: Jeder weiß, dass Diabetes nicht gut ist, dass Bluthochdruck nicht gut ist. Gesunder Lebensstil. Aber das ändert man nicht von heute auf morgen. Und jetzt habe ich die Diagnose und dann kommt jemand und sagt mir: ja, Sie müssen abnehmen, Sie müssen Sport machen, Sie müssen dies machen. Aber mit meiner Herzerkrankung kann ich das vielleicht gar nicht und ich werde ganz viel bevormundet und bekomme ganz viele Regeln, muss Tabletten nehmen, vielleicht acht, zehn Stück zum Frühstück. Da hab ich schon gar keinen Hunger. Ja, und da die Adhärenz zu generieren, mit dem Patienten zusammen einen Therapieplan aufzustellen, mit ihnen zusammen den Weg zu gehen, sie dort – es klingt immer so lapidar – sie abzuholen, wo sie stehen, aber genau das ist es: Man muss für jeden Patienten den Punkt finden, wo man einhaken kann, wo man das Vertrauen bilden kann und dort dann weiter arbeiten. Das heißt, wir müssen unsere Konzepte ständig umstellen. Wir können da nicht nullachtfünfzehn Pläne erstellen, damit wir sie wirklich ganzheitlich richtig betreuen können.

Jana Wagner: Was ich raus höre, ihr bekleidet eure Patient:innen ja auch über eine sehr lange Zeit und was bedeutet denn diese Kontinuität für die Menschen und auch für euch?

Yvonne Müller: Langzeitbetreuung von solchen Patienten ist wie eine Beziehung. Es gibt gute Zeiten. Es gibt schlechte Zeiten. Es gibt ein bisschen Drama und dann gibt es wieder Versöhnungszeiten. Am Ende sind wir sehr nah an den Menschen dran, wir wissen auch viel von der Familie, wie es zuhause ist und das hilft uns aber auch dabei einzuschätzen: Wie können wir weiterarbeiten? Wenn meine Patienten in die Ambulanz kommen, sehe ich denen meistens schon von Ferne an: irgendwas stimmt nicht. Und wenn man nur Standard-Fragen stellt, kommt man nicht dahinter, aber da man sich so gut kennt, kann man an den kleinen Nuancen schon sehen, da ist irgendwas im Busch und das hilft uns total, dass wir einfach sehr eng sind. Aber wenn man sehr eng ist, muss man sich auch abgrenzen können. Manchmal sind wir die kleine Hausarztpraxis und werden auch wegen nicht kardiologischen Dingen angerufen: wegen des Nachbarn, der sich am Arm verletzt hat, oder weil das Kind geimpft werden muss.

Jana Wagner: Mich würde dabei interessieren: es gibt da ja ein vor und nach Transplantation – gibt es da auch eine Veränderung in der Beziehung und wenn ja, wie zeigt sie sich?

Yvonne Müller: Für uns als VD Koordinatoren Team definitiv, denn mit der Transplantation ist unsere Betreuung abgeschlossen. Und das stürzt die Menschen erst – manche zumindest – in einen ganz großen Konflikt. Das ist das Team, mit dem ich ganz lange gearbeitet habe. Zu denen habe ich Vertrauen, jetzt sind da andere Menschen. Mag ich die? Kenn ich die? Lena und ihr Team auf „Wunderlich“ kennen sie, aber sie werden durch andere Ambulanzen durchgeschleust. Die Betreuung ist nicht mehr ganz so intensiv wie am Anfang und das ist ein Abnabeln. Und dieser Absprung fällt manchen schwer. Wir freuen uns aber immer, wenn sie uns danach besuchen kommen. Und es gibt einige, die kommen vorbei und sagen: ich wollt mal „Hallo” sagen.

Jana Wagner: Was würdest du denn sagen, Lena, was hilft den Patient:innen, Vertrauen zu fassen? Was könnt ihr tun, damit sie sich dann auch sicherer fühlen? Bei der ganzen Prozedur?

Lena Jung: Also ich glaube, vor allem kennen die Patienten uns am Bett und als Team auf Station im Alltag. Wir sind immer wieder da. Bei den ärztlichen Kolleginnen und Kollegen ist es einfach so, dass sie häufig rotieren, das heißt, die Patienten haben keinen festen Ansprechpartner, aber gerade Yvonne und ihre Kolleginnen und Kollegen, die sind immer dieselben in der Ambulanz. Wir sind immer auf Station, das ist immer ein ähnliches Team. Die kennen schon genau die Personen, zu denen sie vertrauen haben und dann ist natürlich gerade bei wiederholten Aufenthalten die Hemmschwelle viel, viel niedriger. Also wir sind sehr niedrigschwellige Ansprechpartner, wir klären noch mal Fragen auf, wir sind viel häufiger erreichbar als jetzt zum Beispiel unser Oberarzt, der ganz tolle ausführliche Visiten macht, aber halt dann wieder weg ist. Und natürlich sind bei uns auch die Fragen viel alltagsnaher: also wie mache ich das zuhause? Oder wir fragen: Wie machen sie das denn zuhause? Und erst dann wird den Patienten klar: ich gehe ja, irgendwann nach Hause. Ich muss es ja dann irgendwie selber machen. Wie mach ich das denn dann eigentlich? Und ich glaube, wir haben auch gelernt, dass wir uns, so wie Yvonne auch schon gesagt hat, sehr auf die Kompetenzen des Patienten einlassen können. Also, natürlich würden wir uns wünschen, dass die Patienten das verstehen und perfekt umsetzen und ihren Lebensstil ändern und sowieso absolut perfekt sind. Aber natürlich wissen wir, dass das ein Wunsch ist, der bei uns selber ja auch nicht in Erfüllung geht, und wir versuchen genau in dem Rahmen, in dem der Patient oder die Patientin das leisten kann, dann auch unsere Beratungsangebote oder unsere Anforderungen an den Patienten zu stellen. Das heißt, ich glaube, Sie haben wenig Angst auch vor uns. Sie wissen, Sie können ehrlich auch sagen, wenn mal Dinge nicht so gut gelaufen sind. Und wir versuchen das dann aber auch einfach noch mal darzustellen, dass es kein Scheitern ist, wenn mal etwas nicht gut klappt.

Jana Wagner: Wir reden gerade über ein enges Zusammenspiel von Chirurgie und der Innerer Medizin. Ihr habt ja genau bei diesem Thema eine sehr große Teamarbeit und arbeitet in zwei unterschiedlichen Bereichen, eben also Chirurgie und Innere Medizin, wie gesagt, aber mit denselben Menschen. Deswegen möchte ich gerne wissen – wir fangen gerne mit dir an Yvonne –wie funktioniert denn die Zusammenarbeit aus deiner Sicht in der Praxis?

Yvonne Müller: Immer besser, muss ich tatsächlich sagen. Mein Kollege, der Florian Müller, der vor Jahren hier mit der VAD-Koordination angefangen hat, das war der Pionier. Der hat die Internisten und die Kardiochirurgen sehr eng zueinander geholt. Früher waren wir auch noch viel räumlicher getrennt, also die alte Chirurgie war ja mehrere 100 Meter entfernt und der Botanische Garten war zwischendrin. Das war eine ganz klare Grenze und inzwischen ist das so: Wir sind ein verwobenes, interdisziplinäres Team und im Mittelpunkt steht tatsächlich der Patient. Wir sind uns nicht alle einig, das ist wie einer großen Familie: Da wird auch viel diskutiert und jeder weiß es ein bisschen besser, aber am Ende ist das wie ein Puzzleteil, das zusammengeht. Und ich finde, wir profitieren auch voneinander. Also die Kardiologen können dies besser, die Kardiochirurgen können das besser und wir stehen dann so ein bisschen in der Mitte und versuchen, uns aus jedem Päckchen das Optimale dann rauszuholen und auch manchmal einfach zu vermitteln zwischen den Mitspielern sozusagen.

Jana Wagner: Und Lena, was braucht es für dich, damit es gut klappt?

Lena Jung: Also ich glaube auch, dass dieses räumliche Zusammenkommen einfach genial war. Natürlich können wir auch telefonieren und Emails schreiben, aber es ist total niedrigschwellig, dass wir mal kurz auf dem Flur quatschen oder irgendwie uns absprechen. Ich kann rüber laufen und noch mal fragen, wie macht ihr das? Frisch nach OP, sieht die Wunde wirklich gut aus? Also es ist einfach viel vernetzter und ich glaube dass Austausch einfach wahnsinnig wichtig ist und bin ganz glücklich dass wir da, wie eine große Familie zwar sind, aber auch einfach alle Fragen erlaubt sind und wir offen darüber reden können.

Jana Wagner: Wir haben jetzt über den Austausch und die Kommunikation gesprochen. Was macht denn für euch eine gute Zusammenarbeit in der Pflege aus, also gerade bei so komplexen Fällen, gibt es da bestimmte Parameter, die euch einfallen?

Lena Jung: Ich glaube, unser großes gemeinsames Ziel ist es, die Patienten ganzheitlich zu betreuen, sie in ihrer Individualität zu sehen und auch zu schauen, wie ist ihr häusliches Umfeld? Wie sind denn die familiären Bedingungen, wie kommen sie klar? Und da sind wir uns sehr einig. Dann wird natürlich auch die Zusammenarbeit sehr viel einfacher, weil wir ähnliche Visionen und Ziele haben und da gut miteinander harmonieren können. Und einfach ein kurzer Satz reicht: wir müssen da noch mal – keine Ahnung – in die berufliche Situation vom Patienten gucken und dann können wir uns gut ergänzen. Diese gemeinsame Definition von Pflege eben den Patienten wirklich in all seinen Facetten zu begleiten und irgendwie auch zu unterstützen, wie er gut im Alltag zurechtkommt mit seiner wirklich sehr einschränkenden chronischen Erkrankung, das hilft uns im Miteinander sehr.

Yvonne Müller: Der persönliche Austausch, den wir haben, dadurch, dass wir uns auch häufiger sehen: Dadurch kann man häufiger Kleinigkeiten ansprechen. Wenn man so feste Termine hat und in die andere Klinik geht: Jetzt machen wir die Besprechung über den und den Menschen. Dann gehen Nuancen verloren und durch diesen täglichen Austausch und durch diese kurzen Interaktionsketten – es sind nicht immer unbedingt Parameter, natürlich haben wir Parameter, man misst NT-proBNP, man misst verschiedene Laborparameter, man schaut natürlich nach dem Echo und nach der Leistungsfähigkeit, aber das sind erstmal nur Werte und wir behandeln ja keine Werte. Sie sind wichtig für die Entscheidung, aber am Ende: die Kleinigkeiten, mit der eine Therapie steht und fällt, sind eben Adhärenz: Nimmt jemand seine Medikamente, ist jemand im häuslichen Umfeld gut betreut oder geht er uns zu Hause unter? Es gibt Menschen, die in der Klinik super stabil sind, nachdem sie dekompensiert kamen und rekompensiert wurden. Die gehen nach Hause und kommen nach sechs Wochen wieder, weil sie es zuhause nicht hinbekommen. Jetzt kann man die alle sechs Wochen oder alle acht Wochen aufnehmen und man kann sagen, ja wir rekompensieren und schicken sie halt wieder nach Hause, das spielt man dann ewig lange. Oder man tauscht sich aus: Habt ihr eine Idee, woran könnte es liegen, kannst du noch mal eine Beratung anbieten, eine Nachschulung? Hast du mal mit dem Hausarzt telefoniert oder so etwas? Kennst du die Familie? Ich hab den Sohn lange nicht gesehen. Solche kleinen Nuancen bekommt man in diesem persönlichen Austausch viel schneller raus. Und keine Visite hat dafür Zeit, wenn man ganz ehrlich ist. Eine Visite ist für medizinische Parameter und für Labor und für Diagnostik, aber für solche psychologischen Momente fehlt dann einfach die Zeit in unserem Hochleistungsbetrieb. Und das können wir als Team Wunderlich und VAD-Koordinatoren ganz gut ausgleichen, um da den richtigen Ton zu treffen. Jeder von uns kann singen, aber zusammen sind wir dann halt ein Chor mit dem Patienten, vielleicht kann man es so sagen.

Jana Wagner: Das klingt nach einer tollen Zusammenarbeit. Vielen Dank für die anschauliche Schilderung. Ich wag jetzt mal einen Blick in die Zukunft: Ich habe ja vorhin schon von dem neuen Herzzentrum gesprochen und würde gerne wissen – Yvonne am besten noch ¬– im neuen Herzzentrum werdet ihr ja zukünftig noch näher beieinander sein. Was bedeutet das denn für eure Arbeit?

Yvonne Müller: Für uns als VAD-Koordinatoren: Wir haben weniger Schritte pro Tag, weil wir nicht mehr durch alle Kliniken laufen. Prinzipiell finde ich es ein super Game Changer, weil wir noch näher… wir sind dann eine WG. Es ist nicht ein Reihenhaus und ich muss raus und geh rüber, sondern wir sind direkt dran. Die Informationen sind noch schneller und ich glaube, die Patienten fühlen sich nicht „Ah, jetzt bin ich in der inneren Medizin, dann werde ich in die Chirurgie verlegt, dann werde ich wieder in die innere Medizin verlegt”, sondern es ist ein Herz-Team und ein Herzzentrum. Das ist offensichtlicher auch für die Menschen, dass sie nicht… sie werden ohnehin nicht durchgereicht… aber, dass sie sich dann noch mehr aufgehoben fühlen und für uns sind die Dienstwege noch viel, viel kürzer sich auszutauschen.

Jana Wagner: Jetzt war es ja auch mit der neuen Chirurgie schon eine Nähe, die geschaffen wurde. Das habt ihr sogar auch schon gesagt und dann wird es ja noch näher. Lena, wie siehst du das, was wünscht du dir denn für die Pflege im neuen Herzzentrum fachlich, aber auch für das Miteinander?

Lena Jung: Ich freu mich total. Ich freu mich wirklich noch mal einfach ganz unkompliziert chirurgische Herausforderungen nachzufragen. Auch noch mal Dinge wirklich zu verstehen. Jetzt, wenn wir wirklich chirurgische Frage haben, rufen wir an. Dann hab ich Kollegin XY am Telefon, ich habe keine kein Bild von ihr. Aber trotzdem bekomme ich meine Frage beantwortet. Aber ich freue mich auch wirklich, mit den Patienten zu arbeiten. Und jetzt als Beispiel die herztransplantierten Patientinnen und Patienten rausgenommen - Yvonne hat es ja vorhin schon erwähnt -, die haben meistens schon eine VAD-Vorgeschichte, aber auf jeden Fall haben sie eine lange Krankheitsgeschichte, in der sie engmaschig betreut wurden. Und dann bekommen Sie ein neues Herz. Ein Ziel, auf das sie sehr lange gewartet haben und dann sind sie völlig überfordert und es werden Dinge zu Problemen, von denen wir überhaupt nie gedacht haben, dass Sie zu Problemen werden. Häufig kriegen wir zurückgemeldet: „Ich weiß jetzt gar nicht mehr, also in der Chirurgie war das so und so und ich jetzt ist es anders und was ist jetzt richtig und was mach ich jetzt? Wenn ich zu Hause bin?” Und die sind völlig überfordert. Und da freue ich mich wahnsinnig, dass wir dann eine Einheit sind. Wir sprechen mit einer Sprache, das beruhigt die Patienten, die haben eine einheitliche Aussage. Genau. Wir haben gleiche SOPs, wir haben alles ist wirklich vereinheitlicht und die Patienten können sich auf die wirklich wichtigen Dinge konzentrieren und verlieren sich nicht in solchen Unterschieden.

Jana Wagner: Ich hätte zum Abschluss noch eine persönliche Frage vielleicht an euch oder vielleicht könnt ihr an unsere Zuhörer auch ein paar Tipps geben. Eure Rollen sind ja schon sehr besonders, ihr habt viel Verantwortung, ihr habt sehr viel Spezialwissen, wie seid ihr denn aber bis dahin gekommen und was sollte vielleicht jemand mitbringen, der auch einen ähnlichen Weg gehen möchte?

Yvonne Müller: Wie wird man VAD-Koordinator? Das ist eine gute Frage, weil der Beruf des VAD-Koordinators ist rechtlich und staatlich überhaupt nicht geschützt. Es gibt keine Ausbildung dafür. Das heißt, wir sind klassisch Gesundheits- und Krankenpfleger. Haben, wir haben alle auf Intensiv gearbeitet und haben uns dann über Fortbildungen außerhalb des medizinischen Bereichs nachqualifiziert. Wir werden von Firmen geschult, wir sind Wund-Experten. Die Lisa bei uns hat einen Kardio-Psychokurs gemacht. Man sucht sich so aus vielen Töpfchen aus, was zu diesem Konstrukt passt. Und tatsächlich ist VAD-Koordinator im Uniklinikum recht ganzheitlich. Das heißt, wir sind schon vor der OP, wir klären auf, wir selektieren und screenen mit den Ärzten zusammen. Wir können bei der OP dabei sein, wir machen die Schulung und wir machen die Ambulanz, also ein sehr großes Spektrum, sind aber auch gleichzeitig mit den Firmen in Kontakt. Wir machen ein bisschen Controlling, wir arbeiten mit der Pharmakologie und Mikrobiologie. Also du siehst: es ist so wirklich, ganz, ganz multifaktoriell. Am Ende musst du mitbringen: Teamgeist. Teamgeist ist ganz wichtig. Du brauchst eine Neugier mit anderen Menschen zu kommunizieren, anderen Berufsgruppen. Aber auch viele… das ganze Spektrum an Patienten, nicht jeder ist gleich. Du musst dich immer wieder neu auf jemanden einlassen und du musst Lust auf Projekte haben, weil wir ganz viele Dinge selbständig regeln. Ich glaube, da kann mir Lena zustimmen: wir stampfen Projekte raus. Wir haben eine App kreiert für unsere Patienten in der Nachsorge. Sowas lernt man nirgendwo, egal welche Ausbildung man hat, sondern man muss einfach Lust auf neue Sachen haben. Und man muss sich abgrenzen können, auch das ist wichtig.

Lena Jung: Als ich nach der Ausbildung auf der Intensivstation angefangen hab, hat man ja vor allem so ein bisschen Respekt und alles ist viel. Und das erste Projekt, das wir da angefangen haben, hat mich einfach gelehrt, dass auch wenn man neu in ein Thema einsteigt, dass da ganz viel positive Resonanz ist. Damals war die Chirurgie wirklich noch viele, viele 100 Meter weit entfernt. Und es ging um die Initialversorgung, also wenn Patienten notfallmäßig zum Beispiel nach Reanimation in die Klinik kommen. Da sind die Fachrichtungen super getrennt, jedes Zentrum hat sein eigenes Notfallmanagement. Und ich hab einfach nachgefragt und ich hab so positive Resonanz bekommen und das glaub ich, hat mich so ein bisschen weitergetragen oder mir auch Ängste genommen, weil ich wusste, ich darf hier einfach fragen und man arbeitet zusammen, auch wenn man ganz unterschiedlich tickt oder vielleicht andere Prioritäten hat. Und so habe ich meinen Bachelorabschluss gemacht und im Endeffekt dann auch noch mal über die Kardio, die ich so liebgewonnen hab, mich entschieden einen Master zu machen, der eben sich konzentriert auf hochkomplexe Patientengruppen, weil genau die brauchen natürlich ein interprofessionelles Team, was sich ganzheitlich kümmert, so wie wir es jetzt versucht haben zu beschreiben. Und sowohl der Master als natürlich auch ganz viele Fortbildungen, die so multifaktoriell sind, weil es einfach so viele Punkte gibt, die da mit reinspielen, haben da ganz arg geholfen. Aber es ist auch so, dass man immer und überall wirklich Unterstützung bekommt, wenn man freundlich fragt. Und dann ist die eigene Entwicklung gekoppelt an die Herausforderungen, die da jeden Tag so auf einen wartet.

Jana Wagner: Ich danke euch beiden vielmals für die Einblicke in eure spannende Arbeit. Ich hoffe, unsere Zuhörer waren genauso gefesselt wie ich von euren Schilderungen. Und wenn ihr als Zuhörer jetzt das Gefühl habt, ihr habt eine Frage, ihr seid interessiert, nutzt doch mal gerne unsere Kommentarfunktion und stellt eure Fragen, eure Aussagen, eure Bewertungen gerne da rein und wir nehmen uns Zeit, das Ganze zu beantworten. Falls Ihr Interesse an der Pflege-Ausbildung habt oder auch speziell an der Pflege von Herzpatientinnen und Patienten. Dann können vielleicht auch Yvonne und Lena uns das Ganze beantworten. Ihr könnt auch zudem gespannt sein auf die nächsten Folgen unserer kleinen Serie rund um die Pflege von Herzpatientinnen und Patienten. Nächste Folge wird es weitergehen mit dem Thema und wenn ihr nichts verpassen wollt, dann abonniert den Podcast. Lasst auch gerne eine positive Bewertung da oder empfehlt uns gerne weiter. Ansonsten vielen Dank Yvonne, vielen Dank Lena für das heutige Interview.

Portrait

Yvonne Dintelmann

Pflegedirektorin

„Unsere Pflegekräfte begleiten Menschen mit schwerer Herzschwäche mit hoher fachlicher Kompetenz und individueller Beratung – und schenken ihnen zugleich Halt und Zuversicht.“

Symbolbild: Sechs offene Hände liegen übereinander, in der obersten liegt ein rotes Herz aus Kunststoff oder Glas.

Podcast aus der Kinderherzchirurgie

Ein neues Herz 
für Lara

Als Lara gerade acht Tage alt ist, erhält ihre Familie die niederschmetternde Diagnose: angeborene, komplexe Herzfehler. Es folgen Jahre voller Operationen, Rückschläge – und Hoffnung. Im Winter 2023 spitzt sich Laras Zustand dramatisch zu. Ein Kunstherz übernimmt die lebenswichtige Funktion – doch es ist nur eine Übergangslösung. Und dann, mitten in der Nacht, kommt der erlösende Anruf: Ein Spenderherz ist da. Das schönste Geschenk, nur zwei Wochen vor Laras zwölftem Geburtstag.

Ein neues Herz für Lara

Im Podcast erzählen Laras Mutter und die behandelnden Ärztinnen und Ärzte von einer außergewöhnlichen Reise – zwischen Hochleistungsmedizin und Menschlichkeit.

Transkript

Ein neues Herz für Lara

Ein neues Herz für Lara. Ein Podcast aus dem Universitätsklinikum Heidelberg.


Mutter: Also die Lara war acht Tage alt, und wir wussten nicht, dass sie krank ist. Und dann ging es ihr nachts nicht gut, und dann sind wir morgens zum Kinderarzt, und der hat uns mit dem Rettungswagen herbringen lassen in die Kinderklinik. Und dann sind wir hier angekommen, und dann hieß es: Ihr Kind ist schwer herzkrank, Und so fing eigentlich unsere Geschichte an.


Laras Mutter sitzt in einem Besprechungszimmer in der Kinderklinik des Universitätsklinikums Heidelberg. Lara ist mittlerweile 12 Jahre alt und hat viel Zeit hier verbracht. Von Anfang begleitet hat sie Prof. Tsvetomir Loukanov, ein Kinderherzchirurg.


Loukanov: Sie ist auf die Welt gekommen mit einem angeborenen Herzfehler und sogar mehreren angeborenen Herzfehlern. Sie hat einen unterentwickelten Aortenbogen, eine hochgradige Stenose in der Hauptschlagader, mehrere Löcher im Herzen. Und sie hat sich dann zu Hause verschlechtert einige Tage nach der Geburt. Und das ist oft so bei diesen Herzfehlern. Und dann musste sie reanimiert werden. Das heißt, sie kam in einem praktisch kaum mehr zu rettenden Zustand. …Und wie der damalige Chef unserer Intensivstation mit Recht immer gesagt hat: So einen Zustand vergisst der Herzmuskel nie. …


Laras Herz war also von Anfang an geschädigt, oft musste Lara in die Klinik kommen, wenn wieder das Herz zu versagen drohte. Immer wieder folgte eine Operation oder ein Herzkathetereingriff, dann ging es wieder eine Weile gut. Bis letzten November.


Mutter: Der Lara ging es im November letzten Jahres nicht so gut. Es fing an mit Magen-Darm-Infekten. Und das hat sich so drei Wochen langgezogen, und dann habe ich gesagt: Nein, wir fahren jetzt in die Klinik und lassen das mal untersuchen. Und dann hatte sich schon Wasser angesammelt unterm Herzen. Dann sind wir hier stationär aufgenommen worden. Zwei Tage später wurde ein Herzkatheter gemacht. Und dann wurden wir sofort auf die Intensivstation verlegt, weil der Lungendruck sehr hoch war. Und seit dem 1. Dezember letzten Jahres waren wir auf der Intensivstation. Am 6. Dezember hat sie ihr Berlin Heart bekommen. Und bis zum 8.4. hat sie dann ihr Berlin Heart begleitet.


Das Berlin Heart kommt, wie der Name vermuten lässt, aus Berlin. Dort wurde es entwickelt, um speziell Kindern, sogar Neugeborenen, mit akuter Herzschwäche zu helfen. Es ist eine Art Pumpe, ein Kunstherz, das dem Herzen dabei hilft, den Körper mit Blut zu versorgen. Allerdings ist das Berlin Heart keine Lösung auf Dauer. Eigentlich überbrückt man damit lediglich die Wartezeit auf ein Spenderherz, erklärt Prof. Loukanov.


Loukanov: Die Organe sind leider in diesem Alter Mangelware. Und durch das Berlin Heart sind Monate, in sehr, sehr seltenen Fällen Jahre gekauft, um ein passendes Organ zu finden. Technisch wird es immer besser, das Berlin Heart, aber wie wir das kennen von der Technik: Es gibt auch Grenzen. Also es ist kein dauerhafter Ersatz des Herzens.


Gerade sehr kleine Spenderherzen, wie es im Fall von Lara benötigt wurde, gibt es nicht sehr oft. Daher hatte sich die Familie auf eine längere Wartezeit eingestellt. Die Klinik verlassen durften sie in dieser Zeit nicht, da jederzeit Komplikationen auftreten konnten. Und dann kam der erlösende Anruf, am 8. April 2024, genau nach fünf Monaten mit dem Kunstherz und zwei Wochen vor Laras Geburtstag, erzählt ihre Mutter.


Mutter: Morgens um halb drei wurden wir geweckt, dass es so weit ist. Und erst haben wir uns sehr gefreut mit der Lara, konnten es kaum glauben, aber es sind halt so gemischte Gefühle gewesen. Man hat natürlich dann auch Angst und bangt ja auch. Und uns haben sie auch gesagt, man fährt mit angezogener Handbremse, weil es kann immer sein, dass es vielleicht dann doch nicht so passt und sie aus dem OP doch mit ihrem Berlin Heart wieder zurückkommt. Und das war schon so eine Angst und Sorge, aber auch Freude irgendwie. Ja, das ist ein ganz komisches Gefühl gewesen.


Während Lara in der Kinderklinik für die OP fertig gemacht wurde, liefen in der Herzchirurgie die Vorbereitungen bereits auf Hochtouren. Herzchirurgin Prof. Anna Meyer erhielt den Anruf aus der Intensivstation, vom diensthabenden Arzt.


Meyer: Der hat mich dann, ich glaube, es war irgendwie elf Uhr abends, angerufen: Hier, wir haben ein Organangebot, das sieht soweit ganz gut aus, sollen wir das annehmen? Und dann überlegt man natürlich. Vor allem, das haben wir ja auch nicht jeden Tag, so eine Kinderherztransplantation: Passt überhaupt das Herz da rein? Ist es zu klein? Ist es zu groß? Passt das von der Hauptschlagader, passen die aneinander? Passt das ganze Herz in den Brustkorb rein? … Und da waren wir dann eigentlich … ganz optimistisch, haben das angenommen.


Und ab dann saß Anna Meyer vier Stunden am Telefon.


Meyer: Wir haben dann das Team aus der Kinderklinik, die Kinderherzchirurgen angerufen, dass einer von denen mit rausfährt zur Organentnahme. Dann unser Team, was rausfährt zur Organentnahme. Dann die Kardiotechniker, dass die alles schon mal vorbereiten. Dann den Kinderanästhesisten, dass der die Narkose vorbereitet, auch noch mal sagt, wie lange er braucht, dass das alles so passt. Wir hatten den Zeitpunkt, wann die Organentnahme losgehen soll. Und davon muss man natürlich dann rechnen: Wann muss unser Empfänger dann in der Einleitung sein? Wann geht es los? Wie lange braucht man? Wie lange braucht man, um das Herz zu präparieren? Und wir haben das dann damit geplant.


Acht Stunden später war es soweit. Das Spenderherz war in einer Kühlbox angekommen, Laras Brustkorb wurde geöffnet und ihr Blutkreislauf an die Herz-Lungen-Maschine angeschlossen. Oberarzt Rawa Arif nahm die Transplantation vor. Chirurgisch gesehen geht es dabei vor allem darum, die großen Blutgefäße, die vom Spenderherzen abgehen, an die Blutgefäße des Empfängers anzunähen.


Arif: Wir sprechen in der Chirurgie von Anastomosen, das sind Gefäßverbindungen, die über Nähte in der Regel hergestellt werden... bei einer Herztransplantation sind es fünf Anastomosen, die durchgeführt werden, die großen Gefäße werden aneinandergenäht und die Hohlvenen werden aneinandergenäht und der sogenannte linke Vorhof. Sodass wir dann bei fünf Anastomosen landen.


Und dann kommt der entscheidende Moment: Das neue Herz muss die Pumpfunktion von der Herz-Lungen-Maschine übernehmen. Die Klemmen werden von den Blutgefäßen entfernt und das Blut des Empfängers strömt in das neue Herz. Auch für einen erfahrenen Herzchirurgen wie Rawa Arif immer wieder ein bewegender Moment.


Arif: Der erste Moment, wenn man die Blutzirkulation am Herzen wieder freigibt, …weil dann bestimmte Regionen im Idealfall direkt schon anfangen, Signale auszugeben und das Herz auch zu rhythmisieren. Das ist das erste Erfolgserlebnis. Und dann die Zeit, bis das Herz langsam wieder sich erholt von dieser sogenannten Ischämiezeit, bis es dann selbstständig wieder schlägt. Und das sind die entscheidenden Augenblicke. Die hören sich jetzt relativ schnell an, aber das kann halt auch ein bisschen dauern. Und die Zeit muss man dem Herzen geben. Und unterdessen wird auf verschiedenste Art und Weisen, also per Bildgebung, aber auch eben über Laborkontrollen etc., kontrolliert, dass das ganze System gut funktioniert und das Herz auch gut angenommen wird. …Und vor allem der Augenblick, bei dem dann eben die Herz-Lungen-Maschine die Funktion aufgibt und das Herz von alleine schlägt.


Bei Lara dauerte die Operation insgesamt fast acht Stunden, für die Eltern natürlich eine sehr lange Zeit der Ungewissheit. Doch dann kam der erlösende Anruf.


Mutter: Und um halb vier mittags kam dann der Anruf von Prof. Loukanov, dass seit 15 Uhr das neue Herz in Laras Brust schlägt. Da waren wir alle sehr erleichtert und sehr froh drüber.


Eine Nacht musste Lara noch auf der Intensivstation bleiben, bis ihr neues Herz so stabil schlug, dass die Ärzte sie aus der Narkose aufwecken konnten.


Mutter: Und am nächsten Morgen wurde ich angerufen, dass wir die Lara gerne besuchen kommen dürfen, sie wurde schon extubiert, und sie würde auf uns warten. Und die Lara, die lag ganz fröhlich in ihrem Bettchen und sagte: „Hallo Mama!“ Und damit habe ich überhaupt nicht gerechnet, dass sie da so total ansprechbar war und so fit schon im Kopf war. Und man konnte sich wirklich mit ihr so richtig unterhalten. Und da haben sich natürlich alle gefreut. Als wir hier rüberkamen in die Kinderklinik, dann haben sie schon alle gewartet und haben sich gefreut, dass die Lara wieder zurückgekommen ist. Das war wirklich sehr emotional.


Und zwei Wochen später hatte Lara Geburtstag. Der musste natürlich gefeiert werden.


Mutter: Nachts haben wir schon reingefeiert mit den ganzen Krankenschwestern und den Ärzten. Und dann ging es morgens gerade so weiter. Es war richtig schön, und die Lara hat sich wirklich sehr gefreut. Also es war halt ein anderer Geburtstag, aber ein sehr schöner Geburtstag.


Lara fand den Geburtstag auch sehr schön, es gab nämlich besonders viele Geschenke. Auch solche, die bisher nicht erlaubt waren.


Lara: Es gab viele Sachen. …Ein ganz großes Magnetspiel von den Chirurgen, also wo ich so testen kann, so was mit Magneten, weil ich darf jetzt auch mit Magneten spielen. Ich durfte jetzt mein ganzes Leben nicht mit Magneten spielen, weil ich einen Herzschrittmacher hatte. Und das war so was wie so ein kleines Gerät im Bauch, das hat mein Herz unterstützt.


Nach 12 Jahren mit der ständigen Sorge, dass das Herz versagt, den vielen Operationen und Untersuchungen, nach über vier Monaten Aufenthalt in der Klinik mit dem Kunstherz, war das schönste Geschenk das neue Herz. Nun besteht die Hoffnung, dass Lara erstmals ein ziemlich normales Leben führen kann. Natürlich muss die Abstoßung des neuen Organs kontrolliert werden, Lara nimmt Medikamente ein, die ihr Immunsystem daran hindern. Noch muss sie daher vorsichtig sein, in die Schule darf sie noch nicht, aus Angst vor Infektionen. Doch Prof. Tsvetomir Loukanov ist zuversichtlich, dass Lara bald wieder fröhlich mit ihren Freundinnen spielen kann. Und das ist für das gesamte Team der Kinderherzchirurgie, der Kinderkardiologie und der Herzchirurgie am Heidelberger Universitätsklinikum der allerschönste Dank.


Loukanov: Sie hat jetzt eine normale Lebensqualität. Sie hat ein gesundes Organ bekommen. Der eigene Körper wird sich lange überlegen, ob er das Organ annimmt oder doch nicht. Im Moment sieht alles positiv aus. Aber die Untersuchungen, die Biopsien und die Betreuung von Lara bleiben noch jahrelang, praktisch lebenslang... Aber im Moment sieht es wirklich sehr, sehr erfreulich aus. Wir kriegen auch Fotos von Lara, und das hält uns im Alltag und gibt extra Energie für die anderen Kinder.


Ein neues Herz für Lara. Ein Podcast aus dem Universitätsklinikum Heidelberg.

Gruppenfoto von sechs Erwachsenen und Lara, der Patientin aus der Kinderherzchirurgie. Neben ihr steht ein Wagen mit dem Berlin Heart. Alle blicken in die Kamera und halten einen Organspendeausweis in der Hand.
Was für eine Abwechslung: Nach knapp viermonatigem Aufenthalt in der Klinik darf Lara, hier noch mit dem Berlin Heart, einen Ausflug in den Heidelberger Zoo machen. Ihre Eltern, ihre Schwester und ihre beste Schulfreundin Maike sind mit dabei. Ermöglicht wird das „Abenteuer“ durch das große Engagement der Kinder-Intensivstation: Lara wird bei ihrem Zoobesuch von Krankenpfleger Nicko Troiannos und seinem Sohn Aeneas sowie von Dr. Theresia Weissgerber begleitet.
Röntgenbild mit feinem, netzartigem Geflecht.

Klinik für Kinderkardiologie und Angeborene Herzfehler

Venus-Klappe – 
neue Lösung für ein altes Problem

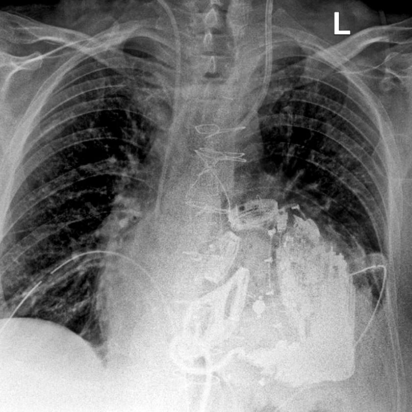
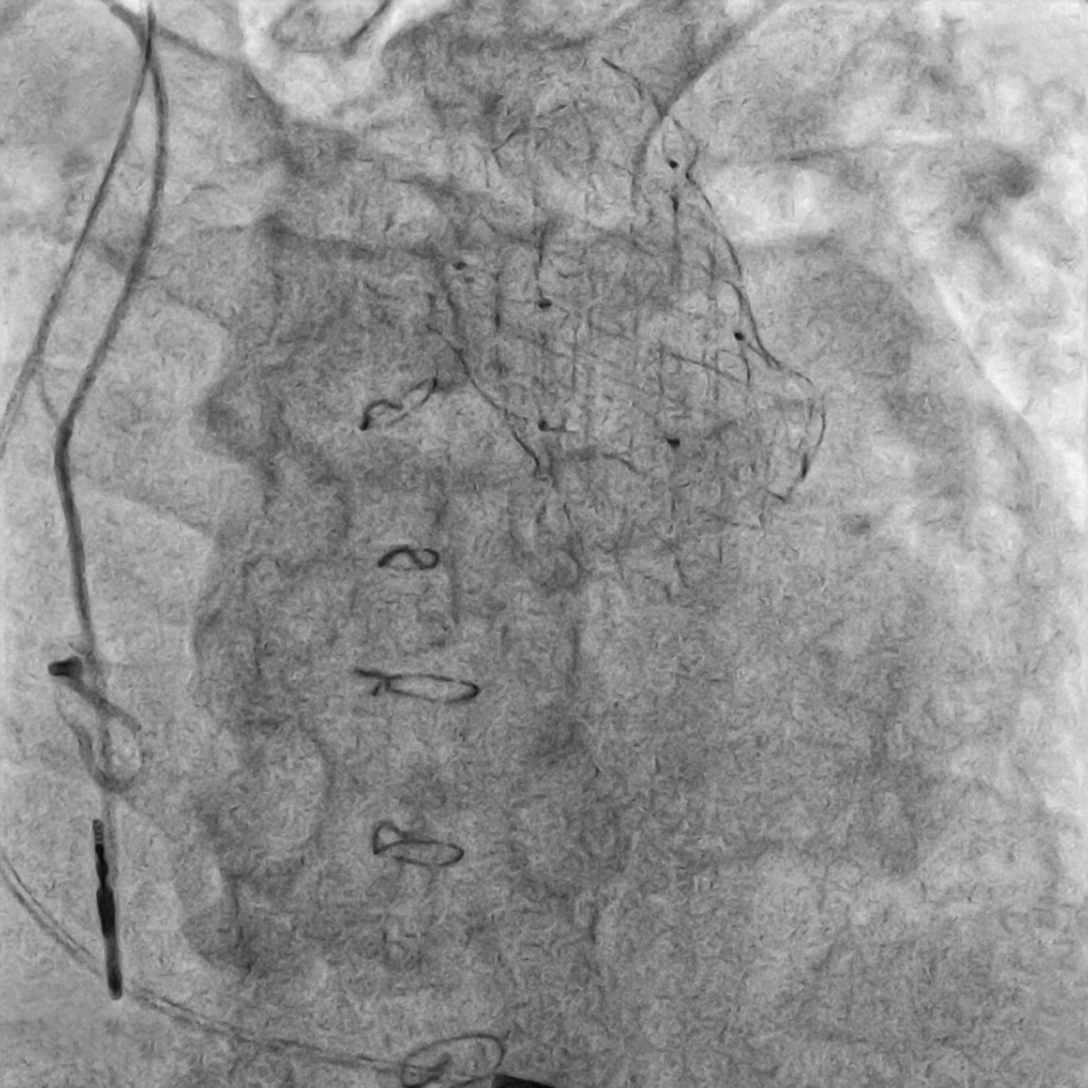
Erwachsene mit angeborenen Herzfehlern haben oft schon zahlreiche Operationen hinter sich. Am Universitätsklinikum Heidelberg (UKHD) steht eine neue Prothese der Pulmonalklappe zur Verfügung, die voroperierten Erwachsenen eingesetzt werden kann – minimalinvasiv.

Was ist eine Pulmonalklappe?
Die Pulmonalklappe ist eine von vier Herzklappen. Sie liegt zwischen der rechten Herzkammer und der Lungenarterie. Sie regelt den Blutfluss zur Lunge. Bei manchen angeborenen Herzfehlern ist die Klappe verengt oder fehlgebildet. Dann muss sie oft schon im Kindesalter operiert oder ersetzt werden – manchmal mehrfach im Leben.

Was ist eine Venus-Klappe?
Die Venus-Klappe ist eine neue Pulmonalklappenprothese. Sie kann mittels Kathetertechnik eingesetzt werden, also ohne offene Operation. Davon profitieren vor allem Erwachsene, deren rechte Herzkammer im Bereich der Pulmonalklappe stark verändert ist. Für sie waren bisherige Klappen oft nicht geeignet. Die Anzahl der Eingriffe, bei denen die Venus-Klappe eingesetzt wird, wird vorraussichtlich klein sein. In diesen Fällen bietet sie aber eine entscheidende Verbesserung für die Patientinnen und Patienten.

Warum behandelt die Kinderkardiologie Erwachsene?
Etwa eines von 100 Neugeborenen kommt mit Herzfehler auf die Welt. 15 bis 20 Prozent müssen zügig behandelt werden. 95 Prozent erreichen das Erwachsenenalter, allein in Deutschland leben mehr als 360.000 Erwachsene mit angeborenem Herzfehler (EMAH). Sie erhalten dauerhaft Nachsorge. Benötigen sie einen Kathetereingriff, werden sie am UKHD häufig von den Ärztinnen und Ärzten behandelt, die sich am besten mit diesen Herzfehlern auskennen – denen der Klinik für Kinderkardiologie und Angeborene Herzfehler.

Wie ist das UKHD im Bereich EMAH aufgestellt?
Am UKHD gibt es eine EMAH-Spezialambulanz. Dort werden Betroffene von Fachleuten aus Kinderkardiologie, Kardiologie, Angiologie, Pneumologie und Herzchirurgie betreut. Die Ambulanz ist von der Deutschen Gesellschaft für Kardiologie – Herz- und Kreislaufforschung als „Überregionales EMAH-Zentrum“ zertifiziert.

Kurz vorgestellt

Kinderkardiologie – Moderne Diagnostik und Therapie bei angeborenen Herzfehlern

Angeborene Herzfehler sind die häufigsten Fehlbildungen bei Neugeborenen – doch dank modernster Medizin sind die Behandlungsmöglichkeiten heute so gut wie nie zuvor. Die Klinik für Kinderkardiologie am Universitätsklinikum Heidelberg bietet hochspezialisierte Diagnostik und Therapie für herzkranke Kinder und Jugendliche.

Ein besonderer Schwerpunkt liegt auf der minimal-invasiven Behandlung mit dem Herzkatheter sowie der intensivmedizinischen Versorgung. In enger Zusammenarbeit mit der Sektion Kinderherzchirurgie können Kinder jeden Alters optimal operativ versorgt werden. Auch die langfristige Betreuung – von der pränatalen Sprechstunde bis zur Versorgung erwachsener Patientinnen und Patienten mit angeborenem Herzfehler – ist Teil des interdisziplinären Behandlungskonzepts.

Zur Website der Klinik für Kinderkardiologie und Angeborene Herzfehler
Außenansicht der Kinderklinik mit farbenfroher Glasfassade.